| > vorher
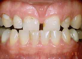
Sehr kleine und lückig stehende Zähne haben diese Frau schon lange gestört. Umfangreiche Füllungen störten zusätzlich den optischen Eindruck.
|
| > nachher
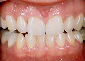
Durch einen mikrochirurgischen Minieingriff wurde zuerst die Form des Zahnfleischsaumes optimiert, damit die Zähne länger werden können. Mit sechs sehr dünnen Vollveneers konnte ein schönes Endergebniss erzielt werden.
|
 |  |
|
|