| > vorher
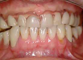
Auf dem linken Bild sieht man eine herausnehmbare, rein schleimhautgetragene Prothese.
Richtige Nahrungsaufnahme ist nur bedingt möglich. Die Zähne sind sehr klein und passen nicht zur Größe des Kiefers.
|
| > nachher
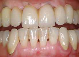
Auf dem rechten Bild sieht man eine festsitzende Brücke, die auf 6 Implantaten abgestützt ist. Jetzt kann die Patientin wieder alles kauen und mit ihren Zähnen wieder lachen.
|
 |  |
|
|