Impressum
Datenschutz
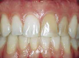
vorher
nachher
> vorher
Durch einen Sturz ist an zwei Zähnen der Zahnnerv abgestorben und dadurch die Zähne dunkel geworden.
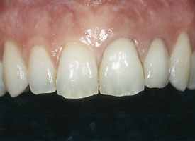
> nachher
Durch zwei Keramikkronen konnte ein perfektes ästhetisches Ergebnis erreicht werden.
Parodontologie
Mikrochirurgie
Prophylaxe
Funktionsdiagnostik
Implantate
Ästhetik
Beispiel 1
Beispiel 2
Beispiel 3
Beispiel 4
Beispiel 5
Beispiel 6