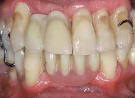
| > vorher
Durch Parodontose und eine schlechtsitzende Klammerprothese sind die Zähne immer länger, lockerer und unansehnlicher geworden.
|
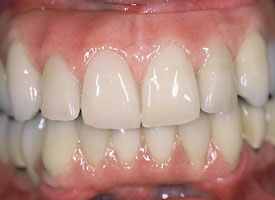
| > nachher
Durch neuen Zahnersatz, abgestützt auf teleskopierenden Kronen, konnte ein stabilsitzender Zahnersatz geschaffen werden, der zusätzlich dazu geführt hat das die gelockerten Zähne wieder fest geworden sind. Auch das Aussehen hat sich zu einem harmonischen Gesamtbild entwickelt.
|
 |  |
|
|