Impressum    
  Datenschutz    
     
   vorher    nachher
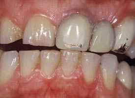
> vorher
Ungleich lange Zähne, abgenützte Kronen und entzündetes Zahnfleisch machten eine Behandlung unumgänglich.

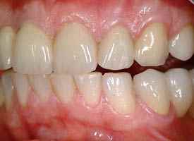
> nachher
Durch neue Keramikkronen konnte ein harmonisches Bild erzeugt werden. Gleich lange Zähne und ein gesundes Zahnfleisch sorgen für ein stabiles Langzeitergebnis.