| > vorher
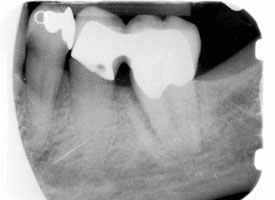
Auf dem Röntgenbild sieht man an der Vorderfläche des Zahnes einen tiefen Knochendefekt bis zur Wurzelspitze des Zahnes.
|
| > nachher
Durch eine systematische Parodontalbehandlung und einem kleinen Eingriff, um den Knochen an dieser Stelle aufzubauen, konnte der Knochendefekt ganz eliminiert werden und dadurch der Zahn erhalten werden.
|
 |  |
|
|