| > vorher
Eine Brücke von Eckzahn zu Eckzahn im Oberkiefer musste erneuert werden. Die beiden mittleren Schneidezähne fehlen, gleichzeitig sind die vier restlichen Zähne stark vorgeschädigt. Nach einem umfangreichen Knochenaufbau im Gebiet der beiden mittleren Schneidezähne konnten dort zwei Implantate inseriert werden.
|
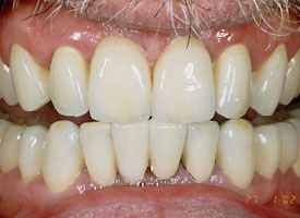
| > nachher
Dieses Bild zeigt die fertigen Kronen. Vier Kronen sitzen auf eigenen Zähnen, die beiden Kronen in der Mitte auf Implantaten.
|
 |  |
|
|